Обо мне

Dr. Dt. Sancar Şimşek

Sancar Şimşek родился в 1985 году в районе Zara, Sivas. После завершения начального образования там, он окончил среднюю школу и лицей в Анатолийской школе Сельчук в Sivas. В 2005 году он поступил на факультет стоматологии Cumhuriyet Üniversitesi а в 2010 году окончил его. Затем он начал специализацию на кафедре хирургии рта, зубов и челюсти того же факультета стоматологии Университета Республики.

image

В 2014 году, получив звание специалиста и степень доктора, он стал одним из соучредителей клиник по стоматологии и здоровью полости рта İdealdent в Мерсине, включая филиалы в районах Позджу и Мезитли, и в настоящее время продолжает работать в своей собственной клинике.

image
Рабочие часы +90(552) 383 50 86
  • В будние дни 08:30 - 17:30
  • Суббота 08:00 - 13:00
  • Воскресенье Закрыто
Области специализации

Наши основные методы лечения здоровья зубов

Запись на приём

Форма для записи на приём

image
image

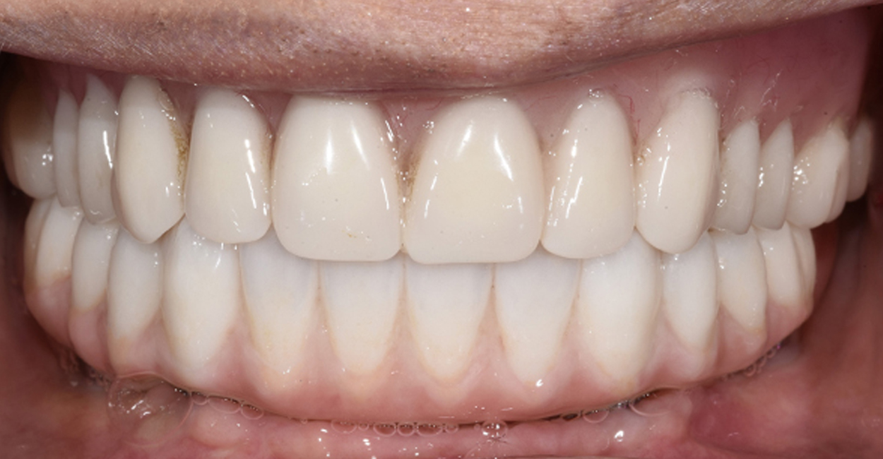
До и после

Посмотрите примеры нашего лечения

image image
image
Блог

Последние статьи

Если вам нужна дополнительная информация, свяжитесь с нами или запишитесь на прием